top of page
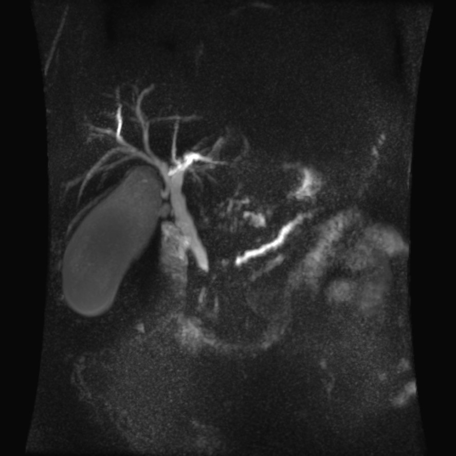
Colangioresonancia
bottom of page